As time passes, a lifetime of expressions can become permanently etched in our skin. Rather than returning to smooth after a furrowed brow, a temporary smile, or raised eyebrows, our aging and less resilient skin begins to sag and retain these expression lines.
Brow Lift Overview
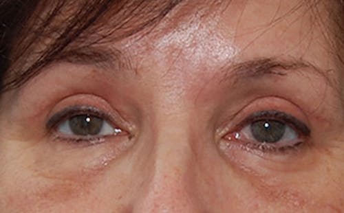
Brow Lift Before & After Photos
View Gallery
Learn More About Brow Lifts

Why Choose Dr. Westreich for Your Brow Lift in NYC?
Choosing the right surgeon for a brow lift in NYC is crucial to achieving subtle, natural elevation and a more refreshed appearance. Dr. Westreich, a facial plastic surgeon in New York City, brings dual board certification in Facial Plastic and Reconstructive Surgery and Otolaryngology–Head and Neck Surgery, combining technical precision with an artistic eye for facial harmony.
Dr. Westreich:
- Has been Honored as a Castle Connolly Top Doctor in Facial Plastic Surgery for ten consecutive years
- Earned his M.D. with honors from NYU School of Medicine and graduated magna cum laude from the University of Pennsylvania
- Teaches facial plastic surgery at SUNY Downstate and contributes to Mount Sinai’s fellowship training program
- Operates at top NYC hospitals, including Lenox Hill and Mount Sinai
- Contributes to national medical organizations like the AAFPRS and ACS, and has served as an editorial reviewer for the American Journal of Rhinology
Known for his personalized care and refined aesthetic approach, Dr. Westreich helps patients achieve youthful, balanced results with brow lift surgery. Contact us today to book your consultation.
Brow Lift FAQ
What is the ideal age for a brow lift?
When are the stitches from a brow lift removed?
What are the risks of a brow lift?
Does a brow lift lead to permanent results?
What is the ideal age for a brow lift?
Brow lifts are suitable for adults of all ages, but the specific details of the procedure may vary for younger and older patients. Patients in their 20s may need less invasive pexy or temporal techniques with minimal lifting, while older patients may need an endoscopic or coronal lift for more extensive lifting. You can consider a brow lift whenever you feel self-conscious about your appearance, regardless of your age.
When are the stitches from a brow lift removed?
The stitches will be removed approximately 7 to 10 days after the brow lift, depending on the type of procedure you had done. Patients receiving multiple procedures may need to be seen more than once in the 2 weeks following surgery.
What are the risks of a brow lift?
All surgical procedures carry an inherent risk of complications, such as infections, excessive scarring, hyperpigmentation (skin discoloration), numbness or paralysis due to nerve damage, and hematoma (formation of blood clots). Brow lifts also carry these potential complications and side effects. However, Dr. Westreich takes a wide range of precautions and preemptive measures to prevent such complications from occurring, ensuring optimal results and recovery.
Does a brow lift lead to permanent results?
Brow lifts are permanent, but that doesn’t necessarily mean your brows will look young forever. A brow lift reverses the signs of aging to make you look younger, but your skin continues aging. As such, it turns back the clock, giving you more time with youthful skin. You can also get additional brow lifts in the future to greatly extend your results.































